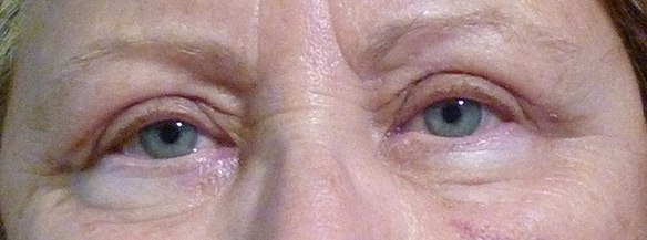
Schlupflider Fotos: vorher-nachher
Schlupflider entstehen meist durch die altersbedingte Erschlaffung der oberen Lidhaut und auch einer Vorverlagerung des Fettgewebes der Augenhöhle. Manchmal sind sie genetisch bedingt und treten dann schon in jungen Jahren auf. Schlupflider betreffen sowohl Frauen als auch Männer.
Welche Beschwerden können Schlupflider verursachen?
- Die Lidhaut kann auf den oberen Lidrand drücken und zu Missempfindungen wie müden, schweren Augen führen.
- Optisch verkleinerte Augen und ein müder, trauriger Gesichtsausdruck lassen Betroffene älter erscheinen.
- Lidschatten ist nicht mehr sichtbar.
- Eine Gesichtsfeldeinschränkung wird aufgrund der schleichenden Entwicklung oft nicht bemerkt.
Was kann man selbst gegen Schlupflider tun?
Schwellungen im Augenbereich, die durch Flüssigkeitseinlagerungen (und nicht durch Fettgewebe aus der Augenhöhle) bedingt sind, können gelindert werden durch:
- Kühlende Umschläge (z.B: kühle Teebeutel, Kühlkissen, Gurkenscheiben...)
- Schlaf mit erhöhtem Oberkörper
- genügend Schlaf
- Verzicht auf Nikotin und Alkohol, Vermeidung von Stress
Gewisse Schminktechniken können Schlupflider optisch fast verschwinden lassen (siehe z.B.: diverse You Tube Videos).
Allerdings: Beseitigt werden können eine erschlaffte Lidhaut und Schwellungen durch Fettgewebe nur durch eine Operation.
Übernimmt die Krankenkasse die Kosten für eine Lidstraffung (Blepharoplastik)?
Bei medizinischer Indikation aufgrund einer Gesichtsfeldeinschränkung, ja. Ob eine solche vorliegt, muss durch eine Gesichtsfelduntersuchung beim Augenarzt festgestellt werden.
Welche Maßnahmen sind vor der Operation nötig?
Blutverdünnende Medikamente müssen 2 Wochen vor der Operation abgesetzt werden.
Ein kleines Blutbild inklusive Gerinnung und eine Freigabe zur Operation in Lokalanästhesie müssen vor der Operation vorliegen.
Eine Kühlbrille (Coolpack) aus der Apotheke oder einem Drogeriemarkt sollte schon einen Tag vor der Operation in den Kühlschrank gelegt werden.
Wie wird eine Lidstraffung durchgeführt?
Zunächst werden die Grenzen des zu entfernenden Bereiches mit einem Stift markiert und das Areal mit einer Spritze lokal betäubt. Dann wird die Haut mit einem darunterliegenden Muskelstreifen entfernt. Ob zusätzlich Fettgewebe entfernt wird, muss individuell entschieden werden. Anschließend werden Blutungen sorgfältig gestillt, die Wunde vernäht, Pflasterstreifen aufgebracht und über einem Auge ein Verband angebracht. Zu Hause sollte auch das andere Auge verbunden werden, um die Gefahr einer Nachblutung zu verringern.
Welche Nebenwirkungen und Komplikationen können auftreten?
Blutergüsse und Schwellungen treten immer auf. Wie schnell diese verschwinden, ist individuell sehr unterschiedlich.
Nachblutungen, Infektionen, Wundheilungsprobleme, störende Narbenbildungen, Narbenschrumpfungen oder Asymmetrien sind selten, können aber einen erneuten operativen Eingriff erfordern. Sehr selten können auch Nervenausfälle im angrenzenden Gesichtsbereich auftreten.
Wo findet die Operation statt?
Die Operation kann ambulant in einer Ordination oder im Krankenhaus durchgeführt werden.
Ich selbst operiere meine Patienten ambulant in der Ordination.
Verhalten nach der Lidstraffung:
- Schlafen mit erhöhtem Oberkörper und häufiges Auflegen der Kühlbrille reduziert die Schwellungen.
- Am Morgen nach der Operation können die Augenverbände abgenommen werden.
- Nichts Schweres heben, körperliche Anstrengungen vermeiden.
- Die Wunden trocken halten, Vorsicht beim Duschen und Haare waschen.
- Keine Augenkosmetika verwenden.
- Juckreiz ist ein Zeichen der Wundheilung und völlig unbedenklich.
- Nach ca. einer Woche werden die Nähte entfernt und die Wunden eventuell nochmals mit Pflasterstreifen für 2 weitere Tage fixiert.
Wie lange dauert die kosmetische Beeinträchtigung nach der Operation?
Die stärkste Beeinträchtigung besteht in den ersten 3 Wochen. Da die Wundheilung aber stark variieren kann, ist auch der Zeitraum bis zum kompletten Verschwinden von Blutergüssen und Schwellungen unterschiedlich.
Für weitere Fragen stehe ich gerne im Rahmen eines Untersuchungstermines zur Verfügung.
Fotos
Vorher Nachher









Diese Bilder sind Ausschnitte aus den Originalfotos und wurden sonst nicht verändert.